24 Hour Emergency Care: 630.420.0013

Follow Us:

Office Hours

Mon & Fri 9 AM-6 PM
Tues & Thurs 7 AM-8 PM
Wed & Sat 9 AM-3 PM

Address

507 S. Main Street Naperville, IL 60540

Contact Us

630.420.0013

You Don't Have to Settle for Discomfort

Dental growths and tori can be safely removed in our Naperville dental office.

What Are Dental Growths and What Causes Them?

Dental growths are characterized as bumps, cysts, bony structures, or soft tissue lumps on the jaw, palate, or tissue of the lips, gums, and inside of the cheeks. These growths are usually benign, though they can be unsightly, uncomfortable, and in some cases cause difficulty eating, swallowing, or even breathing.

 

Growths can have a variety of origins, with the most common being trauma to the mouth; clenching or grinding that causes undue pressure; irritation from broken or misaligned teeth or ill-fitting dental prosthetics or appliances; or heredity.

 

In most cases, dental growths can be easily removed with a safe surgical procedure in our office.

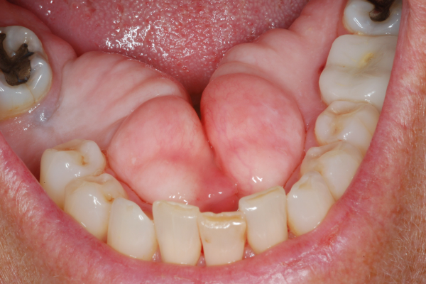
Before and after photos of a dental growth removed by JA Haselhorst, Naperville Dentist.

What Are Dental Tori?

Dental tori, or exostoses, are bony growths or bumps covered by normal gum tissue that typically appear on the upper or lower palate. They are usually non-cancerous but should be removed if they are causing discomfort, trouble breathing, or difficulty wearing dentures or other prosthetics.

 

The three types of tori are:

Torus Palatinus – occur on the roof of the mouth.

Torus Mandibularis – occur on the inside of the lower jaw under the tongue and are often on both sides.

Buccal Exostoses – occur on the outside of the upper or lower jaw (though still inside the mouth).