24 Hour Emergency Care: 630.420.0013

Follow Us:

Office Hours

Mon & Fri 9 AM-6 PM
Tues & Thurs 7 AM-8 PM
Wed & Sat 9 AM-3 PM

Address

507 S. Main Street Naperville, IL 60540

Contact Us

630.420.0013

Repair Damage from Periodontal Disease

In advanced periodontal disease, surgery may be the best option.

When Does Periodontal Disease Require Surgery?

Advanced periodontal disease is a serious condition, not just for your oral health, but for your overall wellness. Gum inflammation opens the pathway for bacteria to get into your bloodstream, potentially causing problems in other organs. That’s why it is so critical to treat periodontal disease right away, before it wreaks havoc elsewhere.

 

Surgery is often required when the gums have started to recede from the crowns of the teeth, when gum tissue lifts away from the teeth causing pockets, and/or when bone loss occurs as a result of severe infection.

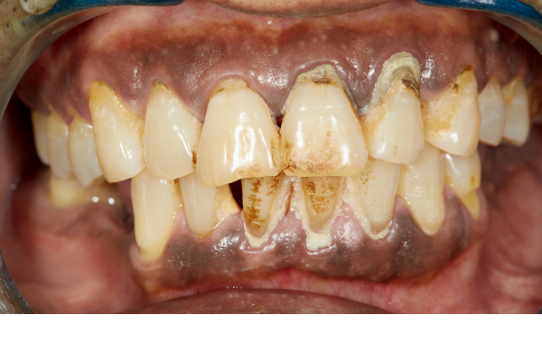
Advanced stage periodontal disease.

What Are the Types of Periodontal Surgery?

There are three main types of periodontal surgery, and some cases require more than one procedure to take place to restore oral health. These procedures are done in-office under local anesthetic. If more advanced procedures are required, we will refer you to a trusted specialist who may perform surgery in the hospital.

 

Gingivectomy: This procedure addresses diseased gum tissue and involves removing and/or reshaping tissue. In modern dentistry, this is typically done with a laser, which improves comfort and precision. This photo shows a before and after comparison of a laser gingivectomy done in our office.

 

Gingival Graft: When the gums have receded, a gingival graft surgery relocates soft tissue from the roof of the mouth to cover the roots of the teeth and/or thin gums. This helps to strengthen the gums.

 

Osseous Surgery: In cases of bone loss due to infection, osseous surgery is done to smooth irregular areas of the bone. By creating a smoother surface, there is less chance of bacteria lingering on the bone and causing infection.

What Should I Expect After Having a Periodontal Surgery?

While we do our best to reduce discomfort, you will likely experience some pain post-surgery. It is important to follow post-operative instructions (which will be given to you after your procedure) carefully. If you have excessive bleeding or pain does not subside after a few days, please call us at 630.420.0013. Additionally, if your procedure required sutures (stitches), we will need to see you back in the office to remove them. In all periodontal surgery cases, we will schedule a series of follow-up visits to monitor healing progress and determine if additional procedures are required to support your oral wellness.