24 Hour Emergency Care: 630.420.0013

Follow Us:

Office Hours

Mon & Fri 9 AM-6 PM
Tues & Thurs 7 AM-8 PM
Wed & Sat 9 AM-3 PM

Address

507 S. Main Street Naperville, IL 60540

Contact Us

630.420.0013

Stop Gum Disease in Its Tracks

Dental scaling is the first step in addressing periodontal disease.

What is Dental Scaling?

A regular cleaning (prophylaxis) utilizes a dental tool called a scaler to remove plaque and bacteria from the surfaces of your teeth, primarily along your gumline and between your teeth. Dental scaling takes that cleaning process a step further, providing a deep cleaning to address the early stages of gum disease (periodontal disease). 

 

Think of a regular dental cleaning as a preventative measure and dental scaling as a non-surgical treatment procedure. Scaling is still done above the gumline, as opposed to root planing, which cleans below the gumline.

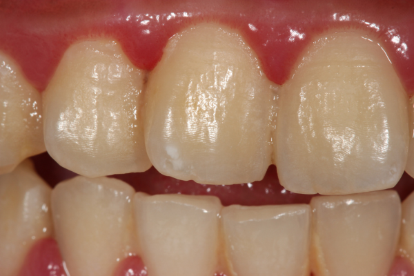
The early stages of periodontal disease with red gums and hardened plaque on the teeth.

What Should I Expect During Dental Scaling?

Dental scaling is similar to a regular cleaning, though it is more complete. In the early stages of periodontal disease, plaque along the gumline hardens and becomes calculus. That calculus needs to be removed professionally utilizing a scaler – a metal tool that scrapes the calculus from the tooth’s surface at the gumline.

 

In some cases (or even potentially due to patient preference, if the manual scaler is uncomfortable or causes dental anxiety), an ultrasonic scaler is used in addition to, or in place of, a manual scaler. The ultrasonic scaler uses high-frequency vibrations and water to remove the calculus.

 

As you can see in the before and after photos shown here, the ultrasonic scaler makes a significant difference in removing plaque and calculus. It is very effective and a preferable solution for many patients.